Skip to main content

Carpal Bones Exam

When examining an acute laceration of the wrist for carpal bone injury, the goal is to determine if the laceration did not touch the bone, hit the bone but did not injure it, or hit the bone and caused an open (compound)fracture.

The initial step in examining a bone is to inspect the bone for signs of deformity, angulation, tenderness, or exposure of the bone allowing it to be observed in the depths of the laceration.

Next evaluate the carpal bones of the wrist for tenderness that is not related to the laceration alone. This can be done by gently palpating the individual carpal bones of the wrist. To palpate for bony tenderness the examiner should palpate the carpal bones of the wrist by applying pressure to the bone without simultaneously palpating the laceration. With an extensive laceration this may not be possible. With severe lacerations the increased pain caused by even gentle palpation of the skeletal structures may make palpation of the bones impossible.

While palpating for tenderness the examiner should also assess the individual carpal bones for signs of crepitus. However the small size of the carpal bones makes assessing the individual carpal bones for crepitus difficult. Crepitus, the Latin word for rattling or creaking at the site of injury, can be detected when fractures were manipulated gently. A fracture that can demonstrate crepitus may be unstable enough that false motion is detected in an area of the bone where there is no joint.

Positive Result

A positive (abnormal) result occurs when the examiner observes fracture tenderness, fracture crepitus, false motion at a potential fracture site, gross limb deformity or mechanical blocks to flexion or extension while examining potentially injured parts of the skeleton.

Negative Result

A negative (normal) result occurs when the examiner no fracture tenderness, no fracture crepitus, no false motion at a potential fracture site, no gross limb deformity and normal joint flexion or extension while examining potentially injured parts of the skeleton.

Diagrams & Photos
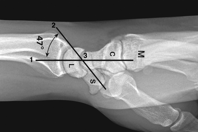
  • X-rays can be very helpful when assessing carpal area injuries. On a normal neutral rotation lateral, the horizontal axis of the radius, lunate, capitate, and metacarpals is a straight line (1). A line (2) the longitudinal axis of the scaphoid crosses line (1) at point (3). The average normal angle between these lines is 47° (range 30-60°). Angles outside this range suggest carpal instability (DISI >60°; VISI <30°).
    X-rays can be very helpful when assessing carpal area injuries. On a normal neutral rotation lateral, the horizontal axis of the radius, lunate, capitate, and metacarpals is a straight line (1). A line (2) the longitudinal axis of the scaphoid crosses line (1) at point (3). The average normal angle between these lines is 47° (range 30-60°). Angles outside this range suggest carpal instability (DISI >60°; VISI <30°).
  • Injuries disrupt Gilula's lines. Normal Gilula's lines superimposed on a neutral deviation PA wrist x-ray. Arc 1 is a smooth arcing line paralleling the proximal articular surfaces of the triquetrum, lunate, and scaphoid. Arc 2 parallels the distal concave surfaces of the triquetrum, lunate, and scaphoid. Arc 3 parallels the smooth curved surface of the proximal hamate and capitate.
    Injuries disrupt Gilula's lines (Insert). Normal Gilula's lines superimposed on a neutral deviation PA wrist x-ray. Arc 1 is a smooth arcing line paralleling the proximal articular surfaces of the triquetrum, lunate, and scaphoid. Arc 2 parallels the distal concave surfaces of the triquetrum, lunate, and scaphoid. Arc 3 parallels the smooth curved surface of the proximal hamate and capitate.
Key Points
  • Use sterile technique when examining any laceration or potentially open fracture.
  • Examining fractures for crepitus or false motion may require anesthesia.
  • Palpation of a bone that causes pain is accurately identified as fracture tenderness and is a very sensitive sign suggesting a broken (fractured) bone.
  • Fracture deformity may occur due to an unstable and/or displaced break in the bone causing the bone to loss its normal anatomical alignment and shape. When a fracture heals in an abnormal displaced or angulated shape, a malunion of the bone occurs and can permanently deform the limb. In children fractures of the growth plate can disrupt growth and produce limb deformity as a child grows.
  • Any bony tenderness should be considered a potential fracture until proven otherwise.
  • Fracture crepitus which is rare with carpal fractures is a gritting or crunching sensation at the fracture that occurs in unstable fractures when the broken parts of the bone are disconnected from each other and the surrounding soft tissues to such a degree that the ends can rub against each other. Palpation to elicit crepitus should be done carefully; it is possible to cause further damage to bony fragments and the surrounding soft tissue. Crepitus is a gritting sensation upon palpation. The absence of crepitus does not necessarily indicate the absence of a fracture. A stable fracture may not demonstrate crepitus. Also interposition of a piece of soft tissue between the fragments, if the ends of the bones are too far apart from each other or if the fracture fragments are impacted, then fracture can be a present without crepitus.
  • Deformity and false motion suggest high energy fractures.